טיפול הלבנת שיניים חדשני
Forever White
על הטיפול
בא.א. קליניק באילת מיושמת שיטת ForeverWhite כחלק מטיפול מקצועי ומפוקח, המותאם אישית לכל מטופל, עם דגש על תוצאה טבעית, אחידה ובטוחה ושמירה מלאה על בריאות השיניים והחניכיים.
למה לבחור
בהלבנת שיניים בא.א קליניק?
בעולם שבו הלבנות שיניים מסורתיות פוגעות באמייל וערכות ביתיות לא באמת עובדות
אנחנו מביאים פתרון חדשני,בטוח ומוכח.

פטנט אמריקאי בלעדי בישראל

אישור משרד הבריאות ללא צורך בהשגחת רופא

אישור משרד הבריאות ללא צורך בהשגחת רופא

בטוח לחלוטין לאמייל
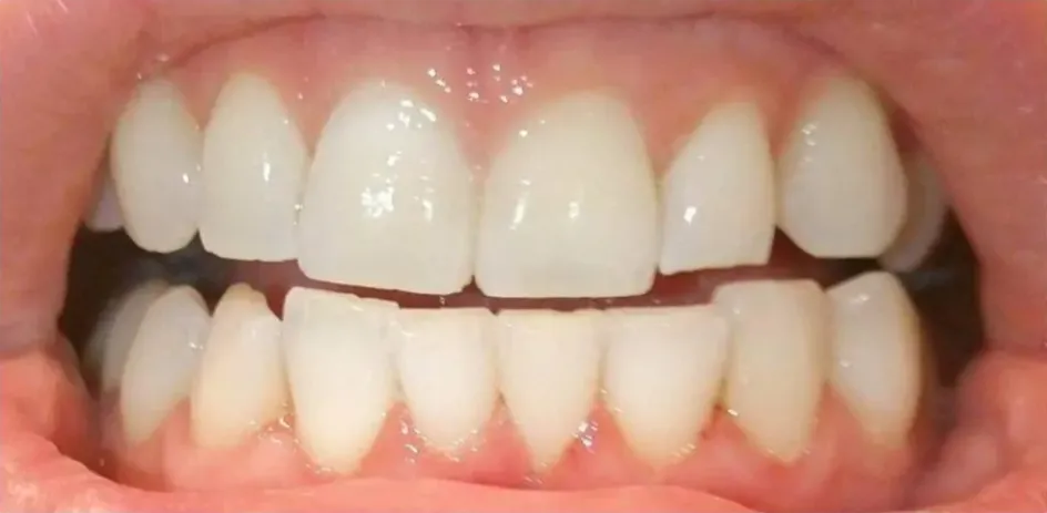
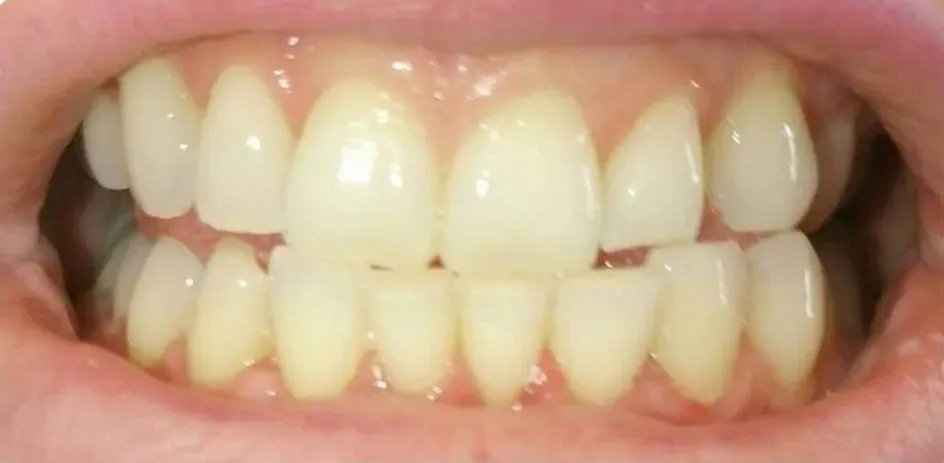
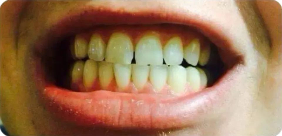
תוצאות שמדברות בעד עצמן
איך זה עובד? פשוט ומהיר!
התהליך לוקח 20 דקות בלבד,
והוא בטוח לשימוש עצמי בקליניקה, במספרה או במכון יופי שלכם.
1
ניקוי והכנה
מצטיידים בסינר ומנקים את השיניים עם מברשת האצבע המצורפת
2
הנחת הסד
מניחים את סד הסיליקון הגמיש, המכיל את ג'ל ההלבנה, על השיניים
3
3 הפעלת ה-LED
מרכיבים משקפי מגן, מפעילים את נורת ה-LED הכחולה וממתינים 20 דקות
4
סיום וטיפוח
מוציאים את הסד ומורחים את מקלון ויטמין E על החניכיים להרגעה והזנה
שאלות נפוצות
כן. הפורמולה והמערכת מאושרות ע”י משרד הבריאות ואינן פוגעות באמייל השן.
כבר מהטיפול הראשון – שינוי ניכר לעין תוך 20 דקות בלבד.
מתאים לכל לקוחות קצה – מגיל 12 ומעלה.
נורת LED עוצמתית, 50 ערכות חד־פעמיות, רולאפ ממותג, משקפי מגן והדרכה אונליין.